人生にゲームをプラスするメディア
ホーム
アクセスランキング
特集
スイッチ2
スイッチ
PS5
スマホ
PCゲーム
スマホゲーム
PCゲーム
Steam
配信者
ニュース
イベント
VTuber
編集部PUSH
レコメンド
読者アンケート
14歳の少女がバランスWiiボードで足を折る-「従来のゲーム機より怪我する率が高く見える」 1枚目の写真・画像
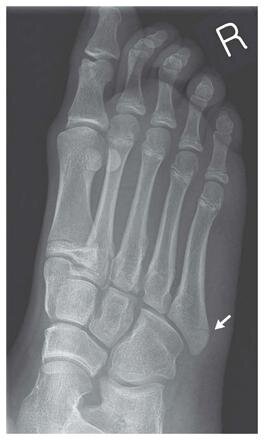
14歳の少女はバランスWiiボードで足の骨を折ってしまったそうです。
任天堂
Wii
2010.2.7 Sun 19:10
ホーム
›
任天堂
›
Wii
›
記事
›
写真・画像
The New England Journal of Medicine is owned, published, and copyrighted (C) 2010 Massachusetts Medical Society. All rights reserved.
14歳の少女がバランスWiiボードで足を折る-「従来のゲーム機より怪我する率が高く見える」
この記事へ戻る
1/1
編集部おすすめの記事
クリスティーナ・アギレラが『Wii Sports』でケガ
2009.7.18 Sat 19:35
広がる「Wii炎症」「Wiiひざ」−Wiiのゲームが健康を害する?
2008.12.23 Tue 12:02
任天堂 アクセスランキング
『あつまれ どうぶつの森』島の名前アイデア50選!命名に迷っている人は要チェック
2020.3.18 Wed 12:20
『あつまれ どうぶつの森』ホラーで有名な「アイカ村」が再び夢で登場……! 恐怖の島を体験せよ
2020.8.1 Sat 15:00
『あつまれ どうぶつの森』マルチプレイをさらに楽しむ10のコツ! 準備しておけば一緒に遊ぶのがさらに楽しく
2020.3.22 Sun 15:00
『遊戯王 マスターデュエル』で人気の可愛いカードは?3位「ブラマジガール」、2位「閃刀姫」、1位は貫禄の“ドヤ顔”
2022.4.6 Wed 11:30
『あつまれ どうぶつの森』移住費用5000マイル支払いに役立つ!序盤でもパパっと終わるたぬきマイレージ8選
2020.3.31 Tue 11:30
『桃鉄』ソロプレイ全物件制覇こそ、“おうち時間”を最高に楽しむエンドコンテンツ!ワンミスで資産が吹き飛ぶ地獄のサバイバル100年を生き延びろ
2020.12.7 Mon 18:00
任天堂の“プリンセス”10選 ─ 実はディズニーにも負けてないほど多い!?
2018.5.8 Tue 13:00
『スプラトゥーン3』で真っ先に慣れたいジャイロ操作のコツ―初心者はまず、思わず傾く体をこらえて!
2022.9.9 Fri 17:00
元ドット職人が教える『あつまれ どうぶつの森』マイデザインお役立ちテクニック!描き方の初歩から独特な「なめらか補正」まで幅広く解説
2020.3.27 Fri 20:00
【注意喚起】『あつまれ どうぶつの森』島を開放する際はマリンスーツにご用心─空港入り口の封鎖では対応不可、“飛び込み”で柵は無視できる
2020.7.8 Wed 13:30
アクセスランキングをもっと見る