英国の医学誌であるNew England Journal of Medicineが「Wii骨折」のタイトルで報じるところによりますと、バンベリーに住む14歳の少女はバランスWiiボードの上でバランスを崩して右足の骨を折ってしまったとのことです。
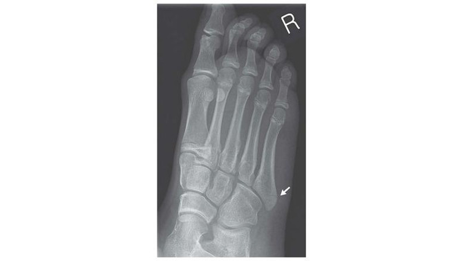
折れてしまったのは「中足骨」という足の中程にある骨。
足の指と足を繋ぐ骨で、細く弱いため比較的折れやすいことでも知られているそうです。
彼女の場合は右足の外側の中足骨の基部が折れてしまっており、松葉杖をついての通院治療が行われました。バランスが崩れた際に筋肉が激しく骨を引っ張ったことが原因ではないかと報告されています。
米国国立生物工学情報センター(NCBI)によればWii関連の怪我は2年で39件が報告されており、その46%は『Wii Sports』のテニスで発生しているそうです。
NCBIは「ゲームによる怪我はWii特有のものではなく、新しい現象でもない。しかしWiiはユニークなユーザーインターフェースのため、従来のゲーム機より怪我をする確率が高いように見える」とコメントしています。
関連リンク
編集部おすすめの記事
任天堂 アクセスランキング
-
モントリオールで、小泉歓晃氏が「マリオに携わってきた13年間」を語った
-
『モンハンライズ』で手強いモンスターは?読者が選んだ投票結果ー苦しめられたハンターの生の声をお届け
-
『ポケットモンスター ソード・シールド』これまでのシリーズでソード&シールドっぽい要素を探してみた
-
『ポケモン ダイパリメイク』女性モブトレーナーが魅力的すぎる!? キュートからセクシーまで…
-
『ロックマン11』新たなボス「ブラストマン」とやり込み要素についての情報が公開!待望の体験会も開催決定
-
『モンハンライズ』バルファルク安定討伐のために注意すること!龍気吸い込み時の“弱点”や彗星落下攻撃の回避方法まで徹底解剖
-
『あつまれ どうぶつの森』これは気付いてた?博物館の魅力が垣間見える魅力を再チェック─アンチョビは時々襲われるし、ムカデが脱走することも
-
『ポケモンレジェンズ アルセウス』発売前に振り返っておきたい「プレート」に刻まれたシンオウ地方の神話
-
『モンハンライズ』太刀の操作方法・立ち回りを解説!「特殊納刀」がとにかく熱い、圧倒的な手数で敵を斬れ!【個別武器紹介】
-
『ポケモン ソード・シールド』トレーナー達の個性溢れる「モンスターボールの投げ方」を紹介!バク宙をしだす猛者も【特集前編】





